news
发布时间:2023-07-18
近日,重庆医科大学附属璧山医院(重庆市璧山区人民医院)骨科成功为一位年轻患者实施“踝关节全内镜下清理、松解术”,解决了其因足踝慢性疼痛所带来的烦恼。

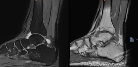
术前MRI显示左踝副骨综合征
一位19岁大学生,由于左踝长期疼痛,辗转多家医院症状未缓解,严重影响其学习生活,经人介绍来到我院骨科治疗。骨科副主任(主持工作)彭李华博士为其进行了全面专业的检查,发现为三角籽骨综合症。完善术前检查及准备后,彭李华博士为患者行“踝关节全内镜下清理、松解术”。患者对手术效果满意,已顺利出院。

踝关节镜下手术是一种微创治疗技术,其只有2-3个1cm左右的手术切口,在关节内镜直视下进行手术操作,可以对踝关节进行全方位检查,更直观地发现问题、解决问题。相较于传统手术,其具有创伤小、出血少、恢复快、美观等优点。

术中C臂定位病灶位置

该手术的开展,标志着我院骨科在运动医学领域迈上了一个新台阶,实现了踝关节镜全内镜下手术从“0”到“1”的突破。