news
发布时间:2025-06-17
近日,重庆医科大学附属璧山医院(重庆市璧山区人民医院)胃肠(肛肠、疝)外科联合肝胆胰外科在多学科团队的紧密协作下,成功为一位高龄且心功能极差的患者杨阿姨实施了腹腔巨大肿瘤切除术,这一手术的成功不仅彰显了我院在复杂疑难病例诊治方面的卓越实力,更体现了多学科协同作战在现代医学中的重要作用。
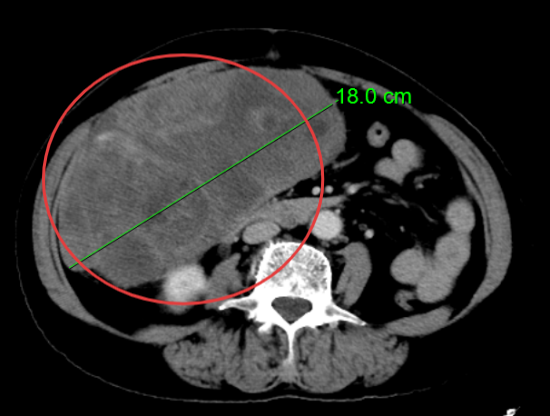
患者杨阿姨,因右下腹胀痛持续一月入院,经过详细的腹部CT检查,结果显示其腹腔内存在一个巨大占位性病变,最大层面大小竟达到了惊人的18cm×10cm×14cm,肿瘤性质及来源尚不明确。面对如此庞大的肿瘤,手术难度可想而知。然而,杨阿姨的身体状况更为复杂。术前检查发现,她全心扩大,心脏彩超显示三尖瓣大量反流,肺动脉高压、二尖瓣大量反流,肺动脉瓣中量反流,并伴有心动过缓。这些心脏问题无疑为手术增添了巨大的风险。面对这样心功能极差的患者,任何微小的失误都可能导致不可挽回的后果。


CT报告结果
面对这一复杂病例,科室副主任(主持工作)陈鸿主任医师迅速组织了一场多学科讨论会,心血管内科、肝胆胰外科、肿瘤血液科、麻醉科、重症医学科、医学影像科等科室的专家共同商讨诊疗方案,经过讨论最终达成共识,制定了一套周密详尽的诊疗方案。

MDT多学科讨论会
手术由胃肠(肛肠、疝)外科汪勇副主任医师和肝胆胰外科周宝勇副主任医师共同主刀,成功地将这个巨大的肿瘤完整切除。目前,杨阿姨的康复进程非常顺利。

被切除下来的肿瘤标本
此次腹腔巨大肿瘤切除术的成功,不仅是我院胃肠(肛肠、疝)外科团队的一次重大胜利,更是我院多学科协同作战能力的生动体现。未来,我们将继续秉承“以患者为中心”的服务理念,不断探索和创新多学科协同作战模式,为更多患者提供更加优质、高效的医疗服务。