news
发布时间:2025-11-17

近日,一名67岁男性患者因“肺部阴影伴咯血2天”紧急入院,每日咯血量超过100毫升。虽持续接受垂体后叶素泵入治疗,效果不佳,患者仍面临窒息、失血性休克等生命危险。胸部增强CT提示其支气管动脉与肺动脉均受病灶侵犯,致使临床处理极为棘手,亟需施行支气管动脉与肺动脉联合介入治疗。

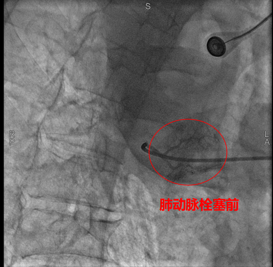
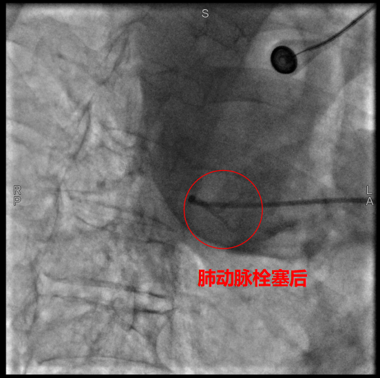
术中



术中,数字减影血管造影(DSA)显示患者右侧支气管动脉及胸廓内动脉增粗紊乱,末梢血管可见造影剂点状外溢,明确为主要出血责任血管。团队采用400 µm栓塞微球及560–710 µm明胶海绵颗粒,对出血动脉远端实施精准栓塞,实现“末梢血管封堵”;同时,对肺动脉分支血栓相关区域也予以栓塞处理,以全面控制咯血来源。术后造影确认出血完全停止,患者安返病房后未再咯血,胸闷、气促等症状显著缓解。
本次高难度手术的成功开展,得到了上海东方医院肺血管介入专家华晶教授的莅临指导。华晶教授在术后点评中表示:“璧医呼吸科介入团队展现出高超的技术水平,双栓塞技术的成功应用,标志着在咯血救治方面已达到国内先进水平。”我院呼吸与危重症医学科作为新获批的国家临床重点专科建设项目(重庆市首个通过咯血中心评审的单位),已建立起完善的血管介入诊疗体系,常规开展经支气管动脉栓塞术(BAE)、经支气管动脉灌注化疗(BAI)、肺动脉造影、右心导管检查、经导管肺动脉溶栓取栓术及血管支架植入等,为患者的健康保驾护航。