news
发布时间:2025-12-25
近日,重庆医科大学附属璧山医院(重庆市璧山区人民医院)成功为一名54岁晚期肺癌男性患者实施“气管Y型支架置入术联合CT引导下放射粒子植入术”,有效解除气道阻塞,显著改善呼吸功能与生活质量。该案例是科室应对晚期肺癌气道阻塞挑战的创新实践,充分彰显了多学科协作与微创技术的协同优势。
患者朱某某,一年前因咳嗽、咯血确诊为右肺鳞癌,曾接受化疗及免疫治疗,后因免疫相关不良反应调整治疗方案。近期因咳嗽加重、活动后气促显著入院,呼吸困难明显,日常活动严重受限。气管镜检查证实气管及右主支气管被新生物广泛阻塞,狭窄程度超90%,气道通气功能濒临衰竭。
面对终末期肺癌患者气道阻塞与肿瘤持续进展的双重困境,传统单一治疗手段难以兼顾快速缓解呼吸症状与长期控制肿瘤进展。我院呼吸与危重症医学科迅速启动多学科协作机制,制定精准诊疗路径:通过定制气管Y型支架即刻恢复气道通畅,为后续治疗赢得关键时间窗;同步实施CT引导下放射粒子植入术,将碘125粒子精准植入肿瘤内部,实现持续低剂量靶向照射,肿瘤控制率高,显著降低再阻塞风险;同时联合胃镜引导空肠营养管置入,强化全身营养支持。术后患者呼吸功能快速改善,气促、咳嗽症状明显缓解,恢复日常活动能力,目前已出院。

气管镜下可见右主支气管新生物

气道支架植入后,右主支气管通畅

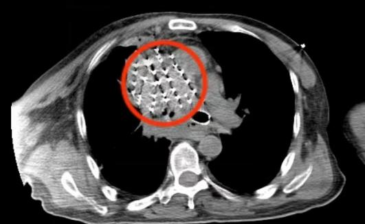
CT下碘125粒子植入
呼吸与危重症医学科副主任(主持工作)韩睿博士指出:“支架置入迅速打通呼吸生命通道,粒子植入精准实现肿瘤控制,二者协同不仅有效延长生存期,更重塑患者生活质量,为晚期肺癌治疗提供了微创、科学、有效的治疗方案。”
我院呼吸与危重症医学科长期致力于肺癌的个体化、综合性治疗,已系统开展经气道、经皮、经血管、经胸腔、经食道等核心微创介入技术。此次成功案例标志着科室在微创精准治疗领域迈上新台阶。未来,科室将持续深化多技术联合应用,提升晚期肺癌患者的个体化治疗水平,为更多患者提供高质量生命支持。同时呼吁公众重视肺癌早期筛查,践行“早发现、早诊断、早治疗”理念,共同筑牢呼吸健康防线。