news
近日,重庆医科大学附属璧山医院(重庆市璧山区人民医院)神经外科成功开展全院首例高颈段脊髓神经刺激器植入术,成功治疗昏迷病人。这项手术的开展,标志着我院神经外科在昏迷促醒领域又迈上了新的台阶,也为患者的康复之路开辟了新的路径。
2025-02-27
近日,重庆医科大学附属璧山医院(重庆市璧山区人民医院)皮肤与整形美容科成功实施全院首例大腿皮肤松弛整形术,在短时间内解决了患者减重后大腿皮肤松弛的烦恼,为肥胖减重人群带来了福音。
2025-02-27
2025-02-27
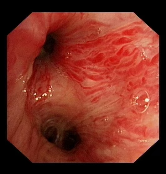
近日,一位反复腹痛、黑便的患者来到消化内科就诊,既往曾多次行胃、肠镜检查及腹部CT检查后未能明确病因,怀疑病变位于小肠,且患者由于年龄大,麻醉风险高,不宜行小肠镜检查,难道只能坐以待毙吗?此时“胶囊内镜”可派上大用场!
2025-02-27
近日,重庆市卫生健康委员会办公室下发《关于公布2022年重庆市临床重点专科建设项目验收结果的通知》,我院麻醉科、耳鼻咽喉头颈外科顺利通过市级临床重点专科建设项目验收,被评为“重庆市临床重点专科”。
2025-02-27
近日,重庆医科大学附属璧山医院(重庆市璧山人民医院)呼吸与危重症医学科成功救治一例罕见支气管淀粉样变合并大咯血患者。凭借血管介入技术、精准病理诊断及个体化治疗方案,患者术后咯血症状完全消失,目前已康复出院。这一病例的成功救治,彰显了我院在呼吸系统疑难重症领域的综合实力。
2025-02-27
近日,重庆医科大学附属璧山医院(重庆市璧山人民医院)创面修复与烧伤科开展HADM(脱细胞异体真皮)联合自体皮移植技术,成功救治了一名因货车车轮碾压而受重伤的患者。
2025-02-07
近日,重庆医科大学附属璧山医院(重庆市璧山人民医院)胸心血管外科成功开展一项剖胸探查术+纵隔肿瘤切除术+心包部分切除术,为患者摘除一颗直径近20厘米、体积有“足球”大小的肿瘤。这一项手术的成功完成不仅为患者解决了疾病的困扰,也展现了我院处理胸心外科领域疑难杂症的高超技术。
2025-02-07