news
近日,重庆市璧山区人民医院胸心外科艾成博士团队突破技术难点、发挥微创手术优势,成功开展两例“单孔胸腔镜下精准肺段切除手术,在达到肿瘤根治的同时,精准切除病灶所在的肺段,最大程度保留患者的呼吸功能,并在减少术后住院时间、减轻术后疼痛等方面取得良好疗效,使病人全方位获益。
2021-04-09
“不忘来路,铭记历史;莫负春光,面向未来。”清明节之际,为缅怀革命先烈,区人民医院党委分批组织全院党员到烈士陵园进行清明祭扫。在烈士纪念碑前,党员们庄严肃立,向烈士敬献花圈、鞠躬敬礼,逐字逐句重温入党誓词,一起追思先烈事迹,缅怀英烈崇高精神,表达无限崇敬之情。 随后,全体人员集体瞻仰了革命烈士纪念碑,革命烈士的牺牲奉献精神深深感动了大家,支部书记给大家上了一堂生动的革命传统党史课。大家纷纷表示,要传承革命先烈遗志,立足本职,爱岗敬业,急患者之所急,忧患者之所忧,为推动璧山区人民医院高质量发展作出积极贡献。 大家纷纷表示,清明祭扫烈士陵园,是一次感悟党史、砥砺初心使命的学习教育,是一次增强党性、升华精神境界的主题党课。要深入学习贯彻习近平总书记党史学习教育动员大会重要讲话和关于党史的重要论述,深刻领悟今天的幸福生活来之不易,守正创新用好红色资源,引导党员干部弘扬英烈精神,立足医疗卫生岗位急患者之所急、忧患者之所忧,赓续精神血脉,凝聚迈进新征程,为推动“健康中国”璧山实践作出积极贡献。 撰稿:李明娟 吴彦 供图:医技三支部、行政一支部 校对:胡悦建 审核:陶锐
2021-04-09
近日,重庆市璧山区人民医院甲状腺外科成功开展经口腔前庭入路腔镜甲状腺手术,在治疗甲状腺疾病的同时,达到了“体表无痕”的手术效果,患者的满意度极高。 患者是一名33岁男性,因“发现颈部包块”入院,查体可见右甲状腺区异常隆起,可扪及一大小约3×2.5厘米质韧包块,可随吞咽上下活动。患者右甲状腺肿块明确,考虑良性肿块可能性大,患者积极要求手术,有明确手术指征。 传统开放手术会在颈部留下5厘米左右的疤痕,考虑到患者提出的“术后不留下明显疤痕”的希望和要求,甲状腺外科覃勇、彭禄荣医师经过术前充分讨论,决定采用经口腔前庭入路腔镜甲状腺手术,术中仅于口腔前庭粘膜切开1个1.5cm、2个0.5cm小切口,并通过腔镜完成手术。 经口腔前庭腔镜甲状腺手术是一种经自然腔道手术,具有体表完全无瘢痕的优点,逐渐成为国内外大医院甲状腺外科发展的先进理念和先进手术方法的标志。 最终,经过甲状腺外科团队的精密配合,手术取得圆满顺利,患者术后第一天即可正常进食,术后第三天出院,颈部皮肤完全无疤痕,对此次手术非常满意。
2021-04-09
为支持芒康县人民医院卫生事业发展,提高医疗技术水平,4月7日,重庆市第九批中期援藏干部、重庆市璧山区人民医院儿科主治医师韩周玻结合芒康县人民医院内儿科实际,代表重庆市璧山区人民医院给芒康县人民医院儿科申请捐赠空气压缩式高频雾化器 2 台,新生儿、儿科用留置针数个,进一步方便患者就医,保障群众身体健康。 韩周玻表示:“目前芒康县人民医院还没有开展高频震荡雾化在儿童、成人肺部疾病的治疗,也没有高频雾化机,所以开展这项新技术来提高患者的疗效,也减少小儿穿刺输液治疗的痛苦。” 芒康县人民医院相关负责人表达了援藏干部及璧山区人民医院的感谢,这批捐赠的医疗设备,将有效提高患儿的治愈率,提升医院的服务能力。芒康县人民医院表示将充分利用好设备,发挥最大作用,解除患者病痛,满足群众健康服务需求。 撰稿:吴彦 供图:韩周玻 校对:胡悦建 审核:陶锐
2021-04-09
3月31日,为有力有序加快做好大规模人群疫苗接种工作,重庆市璧山区人民医院紧急筹备完成全区第一辆新冠疫苗移动接种车,以满足居民接种新冠病毒疫苗需求,推进疫苗接种扩面提速。
2021-04-06
3月31日,医院召开党史学习教育动员会暨党史专题党课,学习贯彻习近平总书记在党史学习教育动员大会上的重要讲话精神,贯彻落实市委、区委和区卫生健康系统党史学习教育的工作要求,拉开了我院党史学习教育的序幕。医院班子全体成员、全体党员、全体职能科室人员参加了会议,党委副书记陶锐主持会议。 (院党委书记刘鸿作动员讲话并讲党史专题党课) 会上,院党委书记刘鸿作了动员讲话,并带头讲医院党史学习教育第一课。她围绕党史学习这个中心,提出了三点具体要求:一要提高站位、增强自觉,深刻认识开展党史学习教育的重大意义;二要突出重点、抓住关键,高质量推进党史学习教育各项工作;三要加强引导、精心组织,确保党史学习教育取得实效。 刘鸿书记强调,2021年是“十四五”开局之年,医院开启了高质量发展的新征程,开展党史学习教育正当其时、意义重大。全院上下要把党史学习教育同医疗卫生健康事业发展结合起来,同聚焦落实疫情防控、改善医疗服务行动、推动医院高质量内涵式发展的目标任务结合起来,全盘谋划、统筹兼顾、一体推进,把学习教育的成果切实转化为医院“立足渝西、服务西南、面向全国”的强大动力和生动实践,真正做到学史明理、学史增信、学史崇德、学史力行! 陶锐副书记强调,开展党史学习教育,是党中央的重大部署,是全党的一项重大政治任务。全院党员干部职工要紧密地团结在以习近平同志为核心的党中央周围,坚持以习近平新时代中国特色社会主义思想为指导,高标准高质量完成医院党史学习教育各项任务,确保医院“十四五”开局迈好第一步、实现开门红,以优异成绩迎接中国共产党建党100周年! 撰稿:李明娟 吴彦 摄影:胡悦建 校对:伍剑戟 审核:陶锐
2021-04-01
2021年3月31日下午,国务院联防联控机制疫苗接种驻点工作组宋莉一行莅临重庆市璧山区人民医院调研指导新冠病毒疫苗接种工作。参与调研指导的有:市卫生健康委党委书记、主任黄明会,区委副书记、区长秦文敏,区委常委、统战部部长刘晋,区人大常委会副主任、区委办公室主任余祖明,区政府副区长王复莲及市卫生健康委、区政府办公室、区卫生健康委、区疾控中心等主要领导及相关负责人。 调研组一行实地察看了新冠疫苗接种点、流动车接种点及门诊预防保健科新冠疫苗接种点等地,逐一查看健康筛查、预检登记、疫苗接种、留观管理等接种程序,现场询问医务人员关于疫苗接种服务情况,详细了解接种流程及人员安排等情况。充分肯定了现场各项准备及应急保障处理工作,并对一线医务人员表示慰问和感谢。 调研组强调:一是要深刻认识。深入贯彻习近平总书记关于疫苗接种工作的重要指示批示精神,认真落实党中央、国务院关于新冠病毒疫苗接种工作的部署要求,坚持以对人民生命健康高度负责的态度,高质量推进疫苗接种工作,构筑人群免疫屏障。二是要强化服务。严格疫苗接种程序,不断优化预约、预检、接种等服务流程,分时段分阶段有力有序组织人员到对应接种点接种新冠疫苗,确保注意事项告知到位,持续关注留观到位。三是要抓实安全。要注意举一反三,安排专人进行疫苗管理,确保疫苗安全,严防丢失与破坏。及时做好疑似异常反应监测和应急准备,让群众放心接种、方便接种、安全接种。四是要广泛动员。加大宣传组织力度,及时回应社会关切,发布接种应知应会事项,增进群众对疫苗安全性、有效性的认识和了解,坚持做好“知情告知、应接尽接”。五是要做好保障。要关心关爱医务人员,全力做好后勤服务保障,避免疲劳接种,保证疫苗接种质量。 撰稿:吴彦 摄影:胡悦建 校对:伍剑戟 审核:陶锐
2021-04-01
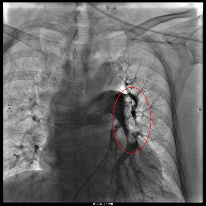
一站式”介入手术,即两种介入手术一次完成。在过去,肺动脉血管+心脏血管手术需要呼吸与危重症医学科、心血管内科团队联合完成,现在通过“一站式”介入,由一人便可独立完成。据了解,重庆市璧山区人民医院心血管内科成功完成渝西地区首例”一站式”介入手术:冠脉造影+右心导管+肺动脉造影+肺动脉导管内溶栓术。 谭婆婆今年已经72岁了,因“突发意识障碍2次”到璧山区人民医院神经内科治疗。谭婆婆没有基础心脏病病史,但近段时间活动耐量明显下降,稍做活动就出现呼吸困难。入院后查BNP及心脏彩超均未提示明显异常,查D二聚体明显升高,经心血管内科周波医师会诊后转入科室继续治疗。在心血管内科主任、内科学(心血管病)博士于长青的指导下,周波医师成功完成医院首例“一站式”微创介入手术。在影像中,可以清晰地看到堵塞的血管经溶栓治疗后,重新畅通无阻,流动起支撑生命的血液。 肺动脉造影技术是目前诊断肺动脉栓塞的“金标准”,在全程心电监护下,通过股静脉或者颈内静脉置入鞘管后,利用导丝引导,将造影导管送入肺动脉;可在左/右肺动脉主干及其左右分支内,分别进行肺动脉造影或选择性肺动脉造影,存在栓塞的肺动脉血管在造影剂注入后即会显示出充盈缺损、充盈缓慢、或者血管显影模糊,严重栓塞的肺动脉血管甚至会出现血流截断征象。 肺动脉导管局部置管溶栓术是通过肺动脉造影确定堵塞的肺动脉部位,然后导管尖端置于血栓处,将尿激酶、链激酶或重组组织型纤维蛋白溶酶原激活剂直接注入血栓处,新鲜血栓在足量的溶栓剂作用下溶解。肺动脉内局部用药特别是小剂量时可减少出血并发症。 该项技术对医生手法及设备都有极高的要求,在导管通过右心室至主肺动脉时,极易出现室性心律失常等紧急状况,同时患者溶栓后有突发脑出血、消化道大出血等风险,难度较大,不仅需要引导病人呼吸配合,还需配备专业抢救设施。 璧山区人民医院成功开展该项技术,在整个渝西地区尚属首例。该技术为不明原因的呼吸困难或不明原因晕厥患者患者提供了一项全新的诊疗手段,明确患者是否存在肺动脉血栓,同时可诊断是否有肺动脉压力升高,是否行急诊溶栓治疗具有指导意义,对延长患者生命、改善患者预后、提高患者生活质量都起到了极大的帮助。 注明:第一张、第二张为术前图像 第三章未标注图像为术后图像
2021-03-30