news
日前,重庆市卫健委正式发文,确定了重庆医科大学附属璧山医院(重庆市璧山区人民医院)顺利通过三级甲等医院复审!标志着医院医疗技术、服务水平、综合能力实现新的跨越,医院发展再次跃上新台阶。
2024-02-08
按照习近平总书记关于加强高校党的建设,办好“思政课”的有关要求,提升医院教师队伍思想政治与教育教学能力建设,坚持教育者先受教育。2024年1月31日,我院特邀重庆医科大学党委书记覃正杰来院开展师资队伍思政能力专题讲座。院党委书记钟华琴、院长郭进军及全体院领导、中层干部、临床骨干师资代表300余人参加此次培训,院党委书记钟华琴主持培训会议。
2024-02-08
2023年重庆市卒中中心建设总结会议于近日召开。会上通报了重庆医科大学附属璧山医院(重庆市璧山区人民医院)通过“高级卒中中心(建设)”评审,并给予现场授牌。
2024-02-08
2024-02-08
为持续优化诊疗流程,改善就医环境,提高诊疗服务,提升就医获得感。2024年,重庆医科大学附属璧山医院(重庆市璧山区人民医院)将围绕患者“诊前、门诊、住院、诊后”“四环节”持续开展“就医体验师”活动,真诚欢迎您的加入!
2024-01-25
为积极响应国家《“十四五”规划建议》支持家庭承担养老功能的政策要求,深入研究失能老人及其家庭在不同生命周期阶段所需的社会支持,进一步促进研究成果转化与推广,2024年1月上旬,重庆医科大学附属第一医院赵庆华教授团队依托国家社会科学基金项目《家庭生命周期视角下失能老人家庭差异化社会支持模式构建研究》(项目编号21BRK013),在重庆医科大学附属璧山医院(重庆市璧山区人民医院)举行了国家社会科学基金项目研学基地授牌仪式。
2024-01-25
近日,重庆市咯血联盟成立大会成功召开,我院成为“重庆市咯血联盟成员单位”,这是对我院呼吸与危重症医学科牵头的咯血中心工作的高度认可。
2024-01-25
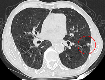
近日,重庆医科大学附属璧山医院(重庆市璧山区人民医院)呼吸介入团队成功为一名九旬高龄患者进行了高危肺结节微波消融术,术后恢复良好。
2024-01-25